MKG

Die Diagnostik in der Zahnmedizin wurde in den vergangenen Jahren durch die Einführung der digitalen Volumentomographie (DVT) erweitert. Diese bietet eine dreidimensionale Darstellung der Mund-, Kiefer- und Gesichtsregion und liefert Informationen, die bei einer Projektionsaufnahme verloren gehen. Der folgende Beitrag stellt die digitale Aufnahmetechnik sowie ihre Indikationen detailliert vor.

 

3D-Modell

 

Prinzip der Volumentomographie


Im zahnmedizinischen Bereich hat die DVT die konventionelle Computertomographie fast vollständig verdrängt. Neben sehr speziellen Fragestellungen gilt nur noch der zwingend erforderliche Einsatz von Kontrastmittel als Rechtfertigung für eine Datenakquisition mittels CT in der Zahnmedizin. Begründen lässt sich dies im Wesentlichen durch eine geringere Strahlendosis, die für die Erstellung einer DVT benötigt wird. Das Rekonstruktionskonzept beruht, ähnlich wie bei der CT, meist auf einer Rückprojektion von Bildinformationen in eine vorgegebene Matrix. Das Röntgenröhren-Detektor-System rotiert um das zu untersuchende Objekt und erfasst, durch oftmals gepulste Röntgenstrahlung hervorgerufen, sogenannte Fluoroskopien. Während einer einzigen Untersuchung werden so je nach Hersteller und Gerätetyp zirka 200 bis 600 einzelne Durchleuchtungen erzeugt. In einem Rechenprozess, der heute dank der immer schneller werdenden Rechnerleistung nur noch wenige Minuten dauert, werden diese Daten zu einem Volumen verarbeitet. Wesentliche Unterschiede zur CT sind zum einen das kegelförmige (engl.: cone beam) Strahlenbündel sowie die fehlende Bewegung des Patienten entlang der Körperlängsachse durch die Gantry.

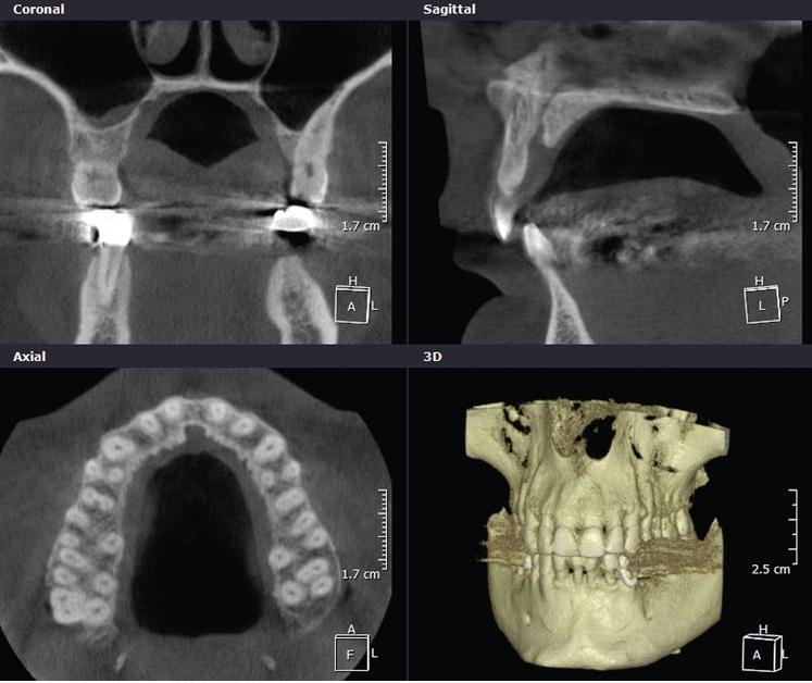
multiplanar und 3-D


Abb. 1: Die Daten können in verschiedenen Ebenen wiedergegeben werden.

 

Das Grundgerüst der fertig rekonstruierten Datensätze sind die Voxel (engl.: volumetric element). Sie stellen zugleich die kleinste Baueinheit dar und sind bei der DVT in aller Regel isotrop, also würfelförmig. Die CT hingegen liefert oftmals – abhängig von der selektierten Schichtdicke – anisotrope Voxel. Durch weitere Rechenprozesse können die Daten auf verschiedenste Weise dargestellt werden. Die multiplanaren Rekonstruktionen stellen die sinnigste Weiterverarbeitung der Daten dar. Hierbei wird das Volumen durch senkrecht zueinander stehende Ebenen zerlegt, wodurch die Ansichten Axial, Sagittal und Koronal erzeugt werden (Abb. 1 a, b, c) . Die Komposition dieser drei Ebenen ergibt ergänzt durch den vorgang des Renderings dreidimensionale Modelle (Abb. 1d)

 

Dosis der Volumentomographie


Die Strahlenexposition durch eine DVT hängt im Wesentlichen von der verwendeten Röntgenröhre, der Filterung der Einblendung, den gewählten Expositionsparametern und nicht zuletzt von der untersuchten Körperregion ab. Im zahnmedizinischen Anwendungsbereich kommt eine relativ harte Strahlung zum Einsatz, was durch eine Röhrenspannung von etwa 90 bis 110  kV und eine geeignete Filterung erreicht wird. Die höhere Röhrenspannung sorgt für eine größere Beschleunigung der Elektronen auf ihrem Weg von der Kathode zur Anode, was wiederum zu einer kurzwelligeren, also energiereicheren Strahlung führt. Die Filterung entscheidet über die Wellenlänge der passierenden Photonen. Langwellige, also energieärmere Röntgenstrahlung wird hierdurch zurückgehalten. Die relative Härte der Strahlen sorgt für eine gute Durchdringung und führt – bis zu einer bestimmten Schwelle – zu einer Reduktion der effektiven Dosis (Deff).

 

Dosisvergleich


Abb. 2: Die Strahlendosis verschiedener Röntgensysteme (PSA = Parnoramaschichtaufnahme, FRS = Fernröntgenseitenbild, DVT = Digitale Volumentomograpie, CT = Computertomographie).

 

 Blenden geben die Ausdehnung des Nutzstrahlenfeldes vor und sorgen für die gezielte Steuerung der Strahlung. Die Stromstärke (mA) ist für die Menge der emittierten Elektronen, respektive Photonen, verantwortlich. Die Wellenlänge und damit die Energie des einzelnen Photons werden durch diesen Parameter nicht beeinflusst. Ganz entscheidenden Einfluss auf die effektive Dosis hat hingegen die untersuchte Körperregion Die rechnerische Ermittlung der effektiven Dosis soll an dieser Stelle nicht weiter erläutert werden. Die SI-Einheit dieser Größe ist das Sievert (Sv), wobei in der Zahnmedizin getrost ein „μ“ davor gesetzt werden kann. Eine Panoramaschichtaufnahme (PSA) ruft etwa 5 bis 15 μSv hervor. DVT können eine Spannweite von 20 bis 300 μSv bei einem Mittelwert von ca. 100 bis 150 μSv hervorrufen. Zum Vergleich: Eine entsprechende CT schlägt mit 500 bis 1.500 μSv zu Buche (Abb. 2). Um weitere Vergleiche anzustrengen, ist jeder Bundesbürger im Durchschnitt einer Kombination aus natürlicher und zivilisatorischer Strahlung im Gegenwert von 4.000 μSv pro Jahr ausgesetzt. Die Flugstrecke Frankfurt – New York entspricht ca. 90 μSv und eine Stunde auf dem Feldberg im Schwarzwald (1.493 m ü. NN) geht mit 0,1 μSv in die Rechnung ein.

 

Indikationen der Volumentomographie

 

Lego-Schablone


Abb. 3: Haupteinsatzgebiet ist die präimplantologische Diagnostik; hier eine Bohr- und Planungs-Schablone mit Referenz- Lego® - Stein

 

Haupteinsatzgebiet ist die präimplantologische Diagnostik (Abb. 3). Zum einen soll das Knochenvolumen bestimmt werden, welches für das geplante Implantatlager zur Verfügung steht, zum anderen gehört der Ausschluss von Pathologien im Implantationsgebiet zur rechtfertigenden Indikation der Aufnahme. Im Gegensatz zur PSA hat bei der DVT ein eventueller Vergrößerungsfaktor keinen Einfluss. Das Einbringen einer Röntgenschablone bleibt aber weiterhin obligat, um eine Referenzierung der prothetisch gewünschten Implantatposition zu gewährleisten. Hierbei kommen allerdings keine 5 mm durchmessenden Stahlkugeln zum Einsatz, sondern Hülsen des entsprechenden Implantatsystems mit einem Innendurchmesser von ca. 2 mm. Insbesondere bei größeren zahnlosen Kieferabschnitten ist dieses Vorgehen von Vorteil.

Mandibularkanal


Abb. 4: Im Unterkiefer zählt die Darstellung des Mandibularkanals (nicht des N. alveolaris inferior) zu den häufigsten Fragestellungen bei der Erstellung einer DVT.

 

Ein weiterer Schritt ist die virtuelle Planung von Implantaten am Computer mithilfe einer Software. Hierfür sind in der Regel ein oder mehrere Referenzkörper erforderlich, um die Röntgenschablone in einem anschließenden Laborschritt zu registrieren und in eine Bohrschablone umzuarbeiten. In der Bohrschablone sind dann Implantatposition und -winkel sowie Bohrtiefe verschlüsselt, deren Werte vorher in der Planungssoftware festgelegt und exportiert wurden. Nachteil dieses Vorgehens sind zum einen die Kosten der Prozedur sowie die teils komplizierte Anwendung gerade für Anfänger. Weiterhin gibt es nur wenige Anbieter, die nicht gleichzeitig auch Implantathersteller wären, was aus Anwendersicht nicht immer vorteilhaft sein muss. Auch die Beurteilung der Kieferhöhlen kann bei geplanter Implantation im Oberkiefer erforderlich sein. Hier gilt es, etwaige Veränderungen in der Kieferhöhle und besonders der auskleidenden Schleimhaut auszuschließen und das Vorliegen von Septen zu prüfen. Im Unterkiefer zählt die Darstellung des Mandibularkanals (nicht des N. alveolaris inferior) zu den häufigsten Fragestellungen bei der Erstellung einer DVT (Abb. 4).

Aus zahnmedizinischer Sicht kann gesagt werden, dass die Planung von Implantaten und die anschließende Versorgung durch den Einsatz der DVT – gerade bei größeren Arbeiten – erleichtert wird. Zu wissen, wie es um die Knochenquantität und -qualität bestellt ist, sollte in aller Regel mehr hilfreich als hinderlich sein.

Ein weiteres Einsatzgebiete der DVT liegt in der Kieferorthopädie mit der Darstellung von retinierten und verlagerten Zähnen. Hierbei steht nun nicht mehr die reine Lagebestimmung im Vordergrund, sondern ebenso die Beurteilung möglicher Resorptionen und Ankylosen. Einschränkende Faktoren sind hier zum einen die Bewegungen der jungen Patienten sowie das Auflösungsvermögen des verwendeten Systems.

Wurzelkanäle02


Abb. 5: Darstellung der dreidimensionalen Kanalstrukturen zur besseren Planbarkeit der Wurzelkanalfüllungen.

 

Sehr gut lassen sich mit der DVT tumorartige Veränderungen des Knochens sowie die Folgen einer entzündlichen Veränderung diagnostizieren. Studien zeigten, dass die Aussagekraft eines Zahnfilms (ZFM) im Rahmen der Endodontie und der Parodontologie eingeschränkt ist. Als einfaches Beispiel sei hier der Zahnstatus genannt. Hierbei wird mit relativ hoher Strahlendosis relativ wenig Information generiert. Das Verhältnis von Dosis zu Information ist bei der DVT im Allgemeinen günstiger. Vertikale Knocheneinbrüche können hier nicht nur mesial und distal, sondern in allen Ebenen des Raumes dargestellt werden. Auch auf dem Gebiet der Endodontie kann mittlerweile ein Vorteil der Volumentomographie gegenüber dem Zahnfilm verzeichnet werden. So lassen sich Kanalstrukturen dreidimensional darstellen und somit Wurzelkanalfüllungen besser planen (Abb. 5).

 

Kosten


Zum Schluss betrachten wir die Einnahmen und Ausgaben, die mit der Volumentomographie erwirtschaftet werden können. Die Rechnung sieht in etwa folgendermaßen aus: Auf der einen Seite stehen primäre Anschaffungskosten , Installation und Abnahme im sechsstelligen Bereich, die andere Seite wird von der Privatliquidationsvereinbarung mit den Patienten bestimmt. Hier ist die Rede von ca. 250 Euro pro Aufnahme, was einem 2,3-fachen Satz entspricht. Zusätzliche Ausgaben wie z. B. die Notwendigkeit der Installation eines geeigneten Netzwerkes und einer entsprechenden Datensicherung sind spielend in der Lage, den Gesamtpreis um einen weiteren fünfstelligen Betrag zu erhöhen.

Außerdem sei angemerkt, dass ein enormer Zeitaufwand erforderlich sein kann, um ein Volumentomographiesystem sachgerecht zu etablieren und zu betreiben.. Auf der anderen Seite sollte nicht vergessen werden, dass durch den Betrieb eines Volumentomographiegerätes die Therapieplanung verbessert und somit möglicherweise die verloren gegangene Zeit durch ein gezielteres Vorgehen gutgemacht werden kann.

 

Fazit


Die Volumentomographie ist eine ausgezeichnete Erweiterung der zahnmedizinischen Diagnostik und wird sich vermutlich über kurz oder lang durchsetzen. Gegenüber der Panoramaschichtaufnahme auf der einen Seite und der Computertomogrphie auf der anderen Seite ist mit Sicherheit die große Menge an generierter Informationen gegenüber der geringen Dosis zu werten als entscheidender Vorteil zu werten. Nachteilig sind zum einen der hohe Anschaffungspreis sowie der zur diagnostischen Auswertung erforderliche hohe Zeitaufwand.

[Home] [Technisches] [Anlage] [Kurzbeschreibung] [DVT-Animation] [Indikationen] [MKG] [HNO] [Kontakt] [Impressum] [Haftungsausschluß] [Downloads]